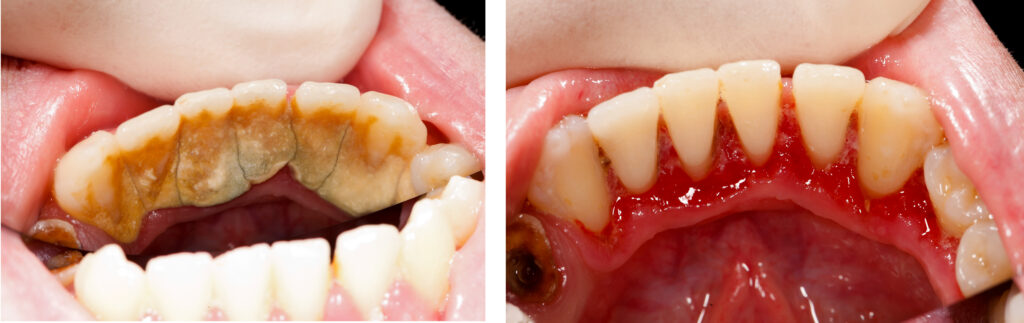
Teeth Cleaning and Gum Care
Even with daily brushing and flossing, plaque and tartar can build up in hard-to-reach areas. Over time, this buildup can lead to:
- Cavities
- Bad breath
- Gum inflammation
- Bleeding gums
- Periodontal (gum) disease
Professional dental cleaning removes hardened tartar and bacteria that regular brushing simply can’t eliminate.

Gum Care & Periodontal Health
Healthy gums are just as important as healthy teeth.
If left untreated, gum disease can progress from mild gingivitis to more serious periodontitis — potentially leading to tooth loss.
Signs You May Need Gum Treatment:
- Red, swollen, or tender gums
- Bleeding while brushing
- Persistent bad breath
- Receding gums
- Loose teeth
If you notice any of these symptoms, early treatment makes all the difference.
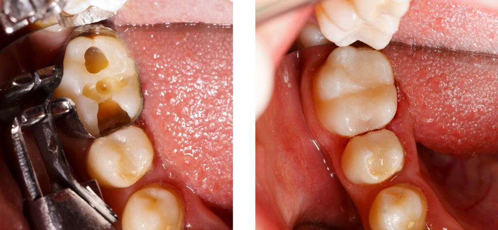
Composite Fillings
Natural-Looking Tooth Repair That Blends Seamlessly With Your Smile
Cavities and minor tooth damage don’t have to affect your confidence. At Plaza Dental Care, we offer high-quality composite (tooth-colored) fillings that restore strength, function, and appearance — all in one treatment.
Composite fillings are designed to match the natural shade of your teeth, making them virtually invisible.

Why Choose Composite Fillings?
Natural Appearance
The material is color-matched to your teeth for a flawless finish.
Strong & Durable
Composite resin bonds tightly to the tooth, helping to strengthen it.
Minimally Invasive
Less drilling is required compared to traditional fillings.
Mercury-Free
A safe, metal-free alternative to silver fillings.

What are Composite Fillings?
Composite fillings are made from a durable tooth-colored resin material that bonds directly to your natural tooth structure. Unlike traditional metal (amalgam) fillings, composite restorations blend in seamlessly with your smile.
They are ideal for:
Improving tooth shape
Treating cavities
Repairing chipped or cracked teeth
Replacing old metal fillings
Closing small gaps
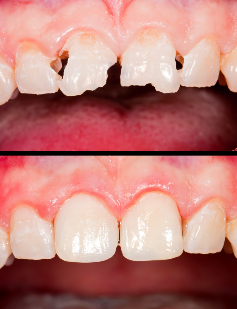
Crowns and Bridges
Restore Strength. Rebuild Your Smile. Regain Confidence.
Damaged or missing teeth can affect more than just your appearance — they can impact how you eat, speak, and feel about your smile. At Plaza Dental Care, we provide high-quality dental crowns and bridges designed to restore both function and aesthetics.
Our restorations are custom-made to look natural, feel comfortable, and last for years.

What is Dental Crown?
A dental crown is a custom-made “cap” placed over a damaged or weakened tooth to restore its shape, size, strength, and appearance.
Crowns Are Commonly Used To:
- Protect a weak or cracked tooth
- Restore a broken or worn tooth
- Cover a large filling
- Protect a tooth after root canal treatment
- Improve the appearance of a discolored or misshapen tooth
- Support a dental bridge
Crowns are carefully color-matched to blend seamlessly with your natural teeth.

What is a Dental Bridge?
A dental bridge replaces one or more missing teeth by “bridging” the gap between healthy teeth or implants.
It consists of:
- Artificial tooth/teeth (pontics)
- Crowns placed on adjacent supporting teeth
Bridges restore your ability to chew properly, maintain facial structure, and prevent surrounding teeth from shifting.
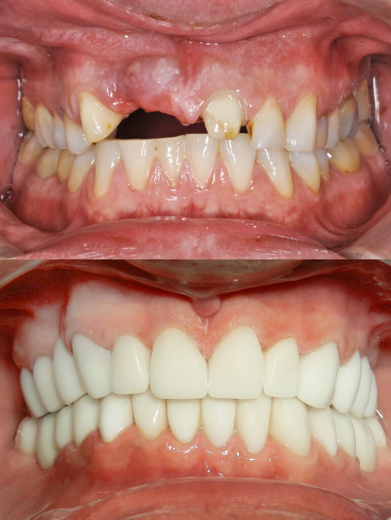
Implants
The Permanent Solution for Missing Teeth
Missing teeth can affect your smile, confidence, and ability to eat comfortably. At Plaza Dental Care, we offer advanced dental implant solutions that look, feel, and function just like natural teeth.
Dental implants are the gold standard for tooth replacement — strong, stable, and long-lasting.

What are Dental Implants?
A dental implant is a small titanium post that is surgically placed into the jawbone to replace the root of a missing tooth. Once healed, a custom-made crown is attached to the implant to restore your smile.
An implant has three parts:
- Titanium implant post
- Abutment (connector)
- Custom crown
The result? A natural-looking, fully functional tooth replacement.

Why Choose Dental Implants?
Natural Appearance
Implants are designed to match your natural teeth perfectly.
Permanent & Durable
With proper care, implants can last decades — often a lifetime.
No Impact on Adjacent Teeth
Implants stand alone and do not require support from neighboring teeth.
Improved Comfort & Stability
No slipping or movement while eating or speaking.

All-on-X Dental Implants
A Full Smile Transformation in Fewer Implants
If you’re missing most or all of your teeth — or struggling with loose dentures — All-on-4 dental implants offer a permanent, stable, and life-changing solution.
At Plaza Dental Care, we restore full smiles using advanced All-on-X technology, giving you fixed teeth that look natural and feel secure.
Dentures
Comfortable, Natural-Looking Tooth Replacement
Missing teeth can make everyday activities like eating and speaking more difficult — and can affect your confidence. At Plaza Dental Care, we provide custom-made dentures designed to restore your smile, comfort, and quality of life.
Modern dentures are more natural-looking, lightweight, and comfortable than ever before.

What are Dentures?
Dentures are removable prosthetic teeth designed to replace missing teeth and surrounding tissue. They are custom-crafted to fit comfortably and match your natural appearance.
Dentures help:
Boost confidence
Restore your ability to chew
Improve speech
Support facial muscles
Enhance your smile

Types of Dentures We Offer
Full Dentures
Used when all teeth in the upper or lower jaw are missing.
Partial Dentures
Ideal when some natural teeth remain. They fill gaps and prevent shifting.

Implant-Supported Dentures
Anchored to dental implants for improved stability and reduced movement.
We’ll help you choose the option that best fits your needs, comfort, and budget
Extractions
Gentle, Safe Removal When a Tooth Can’t Be Saved
While preserving your natural teeth is always our priority, there are times when removing a tooth is the best option for your overall oral health. At Plaza Dental Care, we provide safe, comfortable tooth extractions using modern techniques and a patient-focused approach.
Your comfort and peace of mind come first.

When is a Tooth Extraction Necessary?
A tooth may need to be removed if it is:
- Severely decayed or damaged
- Infected beyond repair
- Broken below the gum line
- Causing overcrowding
- Loosened due to advanced gum disease
- Impacted (such as wisdom teeth)
We always explore restorative options first before recommending extraction.
Braces
Straighten Your Smile. Strengthen Your Confidence.
A straight smile isn’t just about appearance — it also improves oral health, bite alignment, and long-term dental stability. At Plaza Dental Care, we offer modern orthodontic solutions designed to gently and effectively align your teeth.
Whether for teens or adults, braces can transform your smile and boost your confidence.

What do Braces Correct?
Braces are used to treat:
- Crooked or crowded teeth
- Gaps between teeth
- Overbite
- Underbite
- Crossbite
- Jaw alignment issues
Correcting these problems can improve chewing, speech, and overall oral health.

Types of Braces We Offer
Traditional Metal Braces
Reliable, durable, and effective for mild to complex cases.
Clear Aligners
Removable, nearly invisible trays ideal for patients seeking a subtle treatment option.
We create a customized treatment plan tailored to your goals, lifestyle, and orthodontic needs.

Why are Retainers Important?
After orthodontic treatment, your teeth naturally try to shift back to their original positions. Retainers:
- Keep teeth properly aligned
- Prevent unwanted shifting
- Protect your orthodontic results
- Stabilize your bite
- Preserve your confident smile
Wearing your retainer as instructed ensures your smile stays straight.